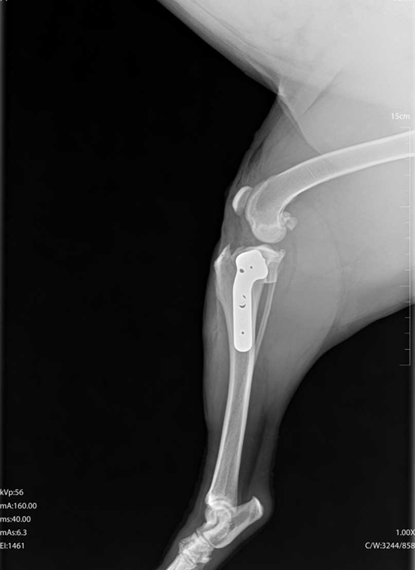
1. TPLO
TPLO (Tibial Plateau Leveling Osteotomy) je kirurški zahvat koji se koristi za liječenje puknuća prednjeg križnog ligamenta koljena.
Kod ozljede prednjeg križnog ligamenta koljeno postaje nestabilno i bolno, što dovodi do šepanja i razvoja artritisa.
Tijekom TPLO operacije mijenja se kut gornje površine goljenične kosti kako bi se koljeno stabiliziralo bez potrebe za ligamentom.
Kirurg napravi kontrolirani rez na kosti, zakrene je u novi položaj i učvrsti posebnom metalnom pločicom i vijcima, time se sprječava klizanje potkoljenice pri opterećenju noge.
Većina pasa počinje opterećivati nogu unutar nekoliko dana nakon zahvata, potpuni oporavak traje otprilike 8 do 12 tjedana uz kontroliranu aktivnost i rehabilitaciju.
Prednost TPLO-a je brži i sigurniji povratak normalnom hodu, osobito kod srednjih i velikih pasa.
TPLO je danas jedna od najpouzdanijih i najčešće korištenih ortopedskih operacija u veterinarskoj medicini.
2. Lateralni šav
Lateralni šav je kirurška metoda koja se koristi za stabilizaciju koljena kod puknuća prednjeg križnog ligamenta.
Ovom tehnikom se umjetnim šavom zamjenjuje funkcija oštećenog ligamenta.
Šav se postavlja izvan zgloba, između bedrene (fabele) i goljenične kosti, kako bi se spriječilo kranijalno pomicanje koljena.
Koristi kod manjih pasmina pasa te kod manje aktivnih životinja, a prednost lateralnog šava je kraće trajanje operacije i manja invazivnost u odnosu na osteotomije.
Zahvat ne mijenja položaj kosti, već se oslanja na stabilnost koju pruža šav i okolna tkiva, potrebna je stroga kontrola kretanja tijekom nekoliko tjedana.
Većina pasa postupno počinje normalno opterećivati nogu tijekom oporavka.
S vremenom dolazi do stvaranja ožiljnog tkiva koje dodatno stabilizira koljeno.
Lateralni šav je pouzdana i često korištena metoda u pravilno odabranim slučajevima.













