Frakture dugih kostiju su prijelomi koje najčešće uzrokuju prometne nesreće, padovi ili teške traume, a zahvaćaju kosti nogu poput bedrene, goljenične ili nadlaktične kosti.
Prijelomi mogu biti jednostavni ili složeni, a oblik i položaj kosti određuju najbolju metodu liječenja.
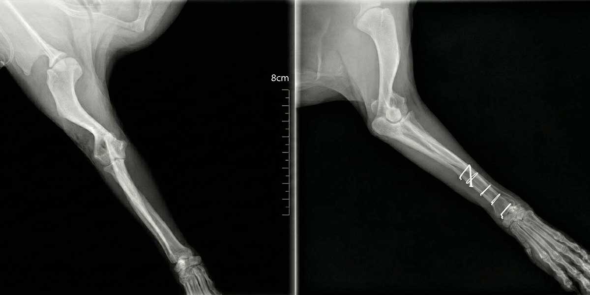
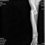
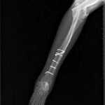
Dijagnoza se postavlja rendgenskim snimkama koje pokazuju lokaciju i tip prijeloma.
Liječenje može biti konzervativno, pomoću gipsa ili udlage, ili kirurško, uključujući pločice, vijke, čavle ili vanjsku fiksaciju.
Kirurško liječenje omogućuje precizno poravnanje kostiju i stabilnost tijekom cijeljenja, što skraćuje vrijeme oporavka.
Nakon operacije potrebna je stroga kontrola kretanja i povremene kontrole kod veterinara kako bi se pratilo pravilno cijeljenje.
Fizioterapija i postupno povećanje aktivnosti pomažu u očuvanju snage mišića i zglobova. Oporavak može trajati nekoliko tjedana do mjeseci, ovisno o težini prijeloma i starosti životinje.
Uz pravilno liječenje, većina pasa ponovno postiže normalnu funkciju noge i može se vratiti svakodnevnim aktivnostima.















